Lippische Landes-Zeitung: Nachrichten aus Lippe, OWL und der Welt

Krankheiten

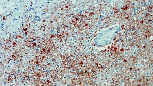
Mensch in Bayern mit Borna-Virus infiziert

In Bayern ist eine sehr seltene Infektion mit dem Borna-Virus nachgewiesen worden. Betroffen sei ein Mensch im Landkreis Weißenburg-Gunzenhausen, teilte das Landratsamt in Weißenburg mit. Nähere Angaben zum Infizierten machte die Behörde nicht. Der Erreger löst eine Hirnentzündung aus, die in nahezu allen Fällen tödlich endet. Überlebende behalten meist schwerste Folgeschäden.

Gesundheitsamt und Veterinäramt seien intensiv mit der Klärung des Infektionsweges befasst, hieß es zum aktuellen Fall. Das Borna Disease Virus 1 (BoDV-1) kommt in der Feldspitzmaus vor. Die Tiere scheiden das Virus in Urin, Kot und Speichel aus. Darüber können sich andere Säugetiere anstecken.

Um sich vor einer Infektion zu schützen, rät das LGL, den Kontakt mit Spitzmäusen und ihren Ausscheidungen zu meiden. Lebende oder tote Tiere sollten nicht mit bloßen Händen berührt werden.

Der Erreger ist bei Tieren seit langem bekannt. Erst seit 2018 ist nachgewiesen, dass BoDV-1 auch auf den Menschen übertragbar ist und dabei meist tödliche Gehirnentzündungen verursacht. Das Robert Koch-Institut geht von zwei bis sechs Erkrankungen jährlich in Deutschland aus, Bayern ist dabei besonders betroffen.

Copyright © Lippische Landes-Zeitung 2025
Inhalte von lz.de sind urheberrechtlich geschützt.
Weiterverwendung nur mit Genehmigung der Chefredaktion.