Lippische Landes-Zeitung: Nachrichten aus Lippe, OWL und der Welt

Notfall in Bielefelder Tierklinik: Außergewöhnlicher Anblick auf Röntgenbild

Alexandra Buck

  • 0
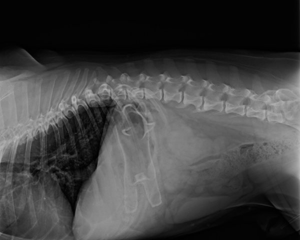
Die Umrisse des verschluckten Gegenstandes sind sehr gut zu erkennen. - © NW
Die Umrisse des verschluckten Gegenstandes sind sehr gut zu erkennen. (© NW)

Riesenschreck für Familie: Der Hund schluckt plötzlich einen großen Fremdkörper. In der Bielefelder Tierklinik geht dann alles ganz schnell.

Weiterlesen mit LZplus

Copyright © Lippische Landes-Zeitung 2025
Inhalte von lz.de sind urheberrechtlich geschützt.
Weiterverwendung nur mit Genehmigung der Chefredaktion.